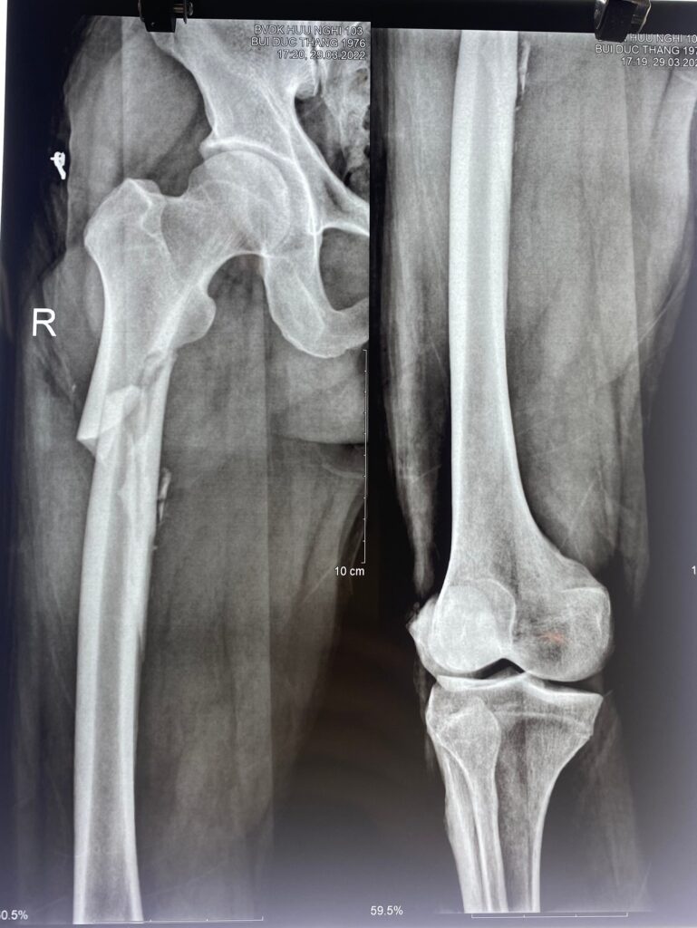
Phẫu thuật xương đùi cho bệnh nhân nam 46 tuổi. Bệnh nhân bị tai nạn giao thông với tình trạng gãy kín 1/3 trên xương đùi phải di lệch, có nhiều mảnh vỡ nhỏ.
Sau hơn 2 giờ tại phòng phẫu thuật, bác sĩ chấn thương chỉnh hình đã phối hợp nhịp nhàng với các bác sĩ chuyên khoa gây mê hồi sức để hoàn thành ca phẫu thuật kết hợp xương cho người bệnh.
Phẫu thuật người bệnh gãy xương đùi là một trong những kỹ thuật đại phẫu của khoa Ngoại – Bệnh viện Đa Khoa Hữu Nghị 103. Do được thực hiện trên nhiều đối tượng khác nhau, nên công tác hậu phẫu luôn được chú ý đề cao để tránh các biến chứng sảy ra sau đó.



Mọi thông tin chi tiết giải đáp thắc mắc và cần tư vấn vui lòng liên hệ :
_______________///________________
Bệnh viện Đa Khoa Hữu nghị 103 Yên Bái
Hotline: 0947.103.103
Địa chỉ: Tổ dân phố Phúc An, đường Hòa Bình, P. Nguyễn Phúc, TP. Yên Bái
Khám tất cả các ngày trong tuần

Bài viết liên quan
THÔNG BÁO ÁP DỤNG GIÁ DỊCH VỤ KỸ THUẬT CHUYÊN MÔN KHÁM, CHỮA BỆNH BẢO HIỂM Y TẾ
QUYẾT ĐỊNH XẾP CẤP CHUYÊN MÔN KỸ THUẬT CƠ SỞ KHÁM, CHỮA BỆNH
Quyết Định Xếp Cấp Chuyên Môn Kỹ Thuật Cơ Sở Khám Chữa Bệnh Cho Bệnh Viện Đa Khoa Hữu Nghị 103